Background: Studies analyzing atrial activation in electrocardiograms (ECG) usua...
El flutter auricular izquierdo (FAI) es una arritmia macroreentrante compleja as...
Introducción: el acceso epicárdico es clave en procedimientos de ablación de ...
Introducción: aunque los avances tecnológicos y técnicos han mejorado los res...
Introducción: las líneas anteriores mitrales (anteroseptal y anterolateral) se...
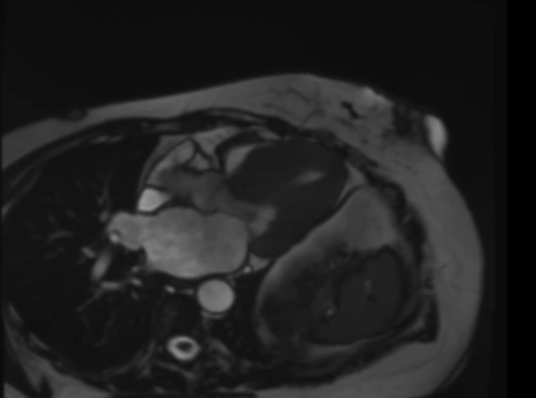
Introducción La miocardiopatía hipertrófica obstructiva es una enfermedad ...
Introducción: La transposición de grandes arterias congénitamente corregida ...
Introducción: La fibrilación auricular (FA) es la arritmia más frecuente en ...
Introducción. La estimulación fisiológica en el área de la rama izquierda ...
Introducción La pérdida de actividad auricular visible en el ECG en pacientes...
Introducción: Las extrasístoles ventriculares idiopáticas (EVI) con carga e...
Introducción: El abordaje terapéutico de la endocarditis infecciosa asociada a...
La estimulación fisiológica en la región de la rama izquierda del Haz de His ...
Introducción: Las indicaciones de implante de cardio desfibriladores en la pobl...
Introducción: La principal indicación de implante de un marcapasos en paciente...
Introducción: La taquicardia ventricular bidireccional es rara, sobre todo en p...
Introducción: Las taquicardias ventriculares (TV) inestables representan un de...
La estimulación fisiológica en la región de la rama izquierda del Haz de His ...
Introducción Los pacientes con un defecto en el septum interauricular experim...
Introducción: El síndrome de preexcitación en pacientes pediátricos puede ca...
Introducción: La coexistencia de tres arritmias en un solo paciente es infrecue...
Introducción: El abordaje óptimo de la FA persistente y, especialmente, de la ...
Introducción: El síncope de origen desconocido es un desafío diagnóstico fre...
Introduction: Left bundle branch-optimized cardiac resynchronization therapy (LO...
Introduction: Brugada Syndrome (BrS) is a genetic channelopathy associated with ...
Introducción: Las indicaciones de ablación con sistema tridimensional en pacie...
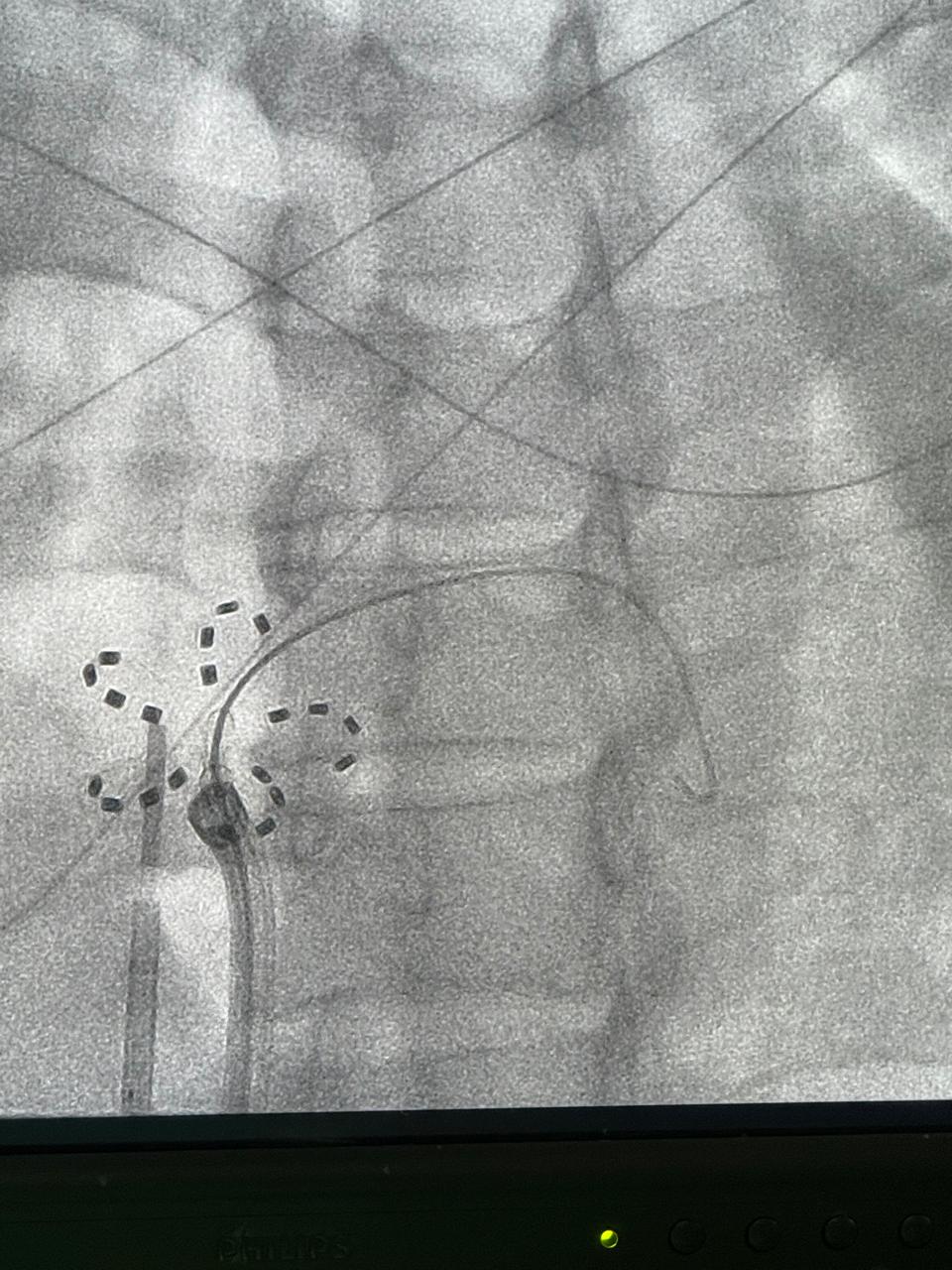
Introducción: La punción transeptal es un abordaje muy útil y muchas veces in...
Introducción y Objetivos: La ablación por catéter de Fibrilación Auricular ...
La estimulación en la región de la rama izquierda del Haz de His (LBBAP) permi...
Endocardial left ventricular (LV) pacing through an atrial transseptal approach ...
Paciente masculino de 16 años de edad con diagnóstico neonatal de doble salida...
Introducción: La taquicardia auricular (TA) es un tipo de taquicardia suprav...
Introducción La dextrocardia es una anomalía congénita infrecuente, con ...
Introducción Las extrasístoles ventriculares (PVC) constituyen un trastorno ...
Introducción: La taquicardia ventricular (TV) es una arritmia infrecuente en ...
Objetivos: Caracterizar los aleteos auriculares atípicos (AAA), así como desc...
La estimulación fisiológica en la región septal media del tabique interventri...
Introducción El síncope vasovagal (SVV) es la causa más frecuente de pér...
INTRODUCCION El mecanismo de doble disparo o taquicardia nodal atrioventricular...
Introducción: El síndrome de preexcitación es la principal causa de taquicard...
Introducción La estimulación directa del sistema de conducción, mediante cap...
Introducción: La distrofia muscular de Becker (DMB) es una miopatía ligada al ...
Background: Pulmonary vein isolation by radiofrequency is the standard procedur...
Background: Atrial flutter (AFL) is a common supraventricular arrhythmia, frequ...
Introduction: Inferior vena cava agenesis (IVCA) is a rare congenital malformat...
Introducción: La ablación de fibrilación auricular (FA) es una estrategia ter...
Introduccion La ablación por campo pulsado (PFA, por sus siglas en inglés) es...
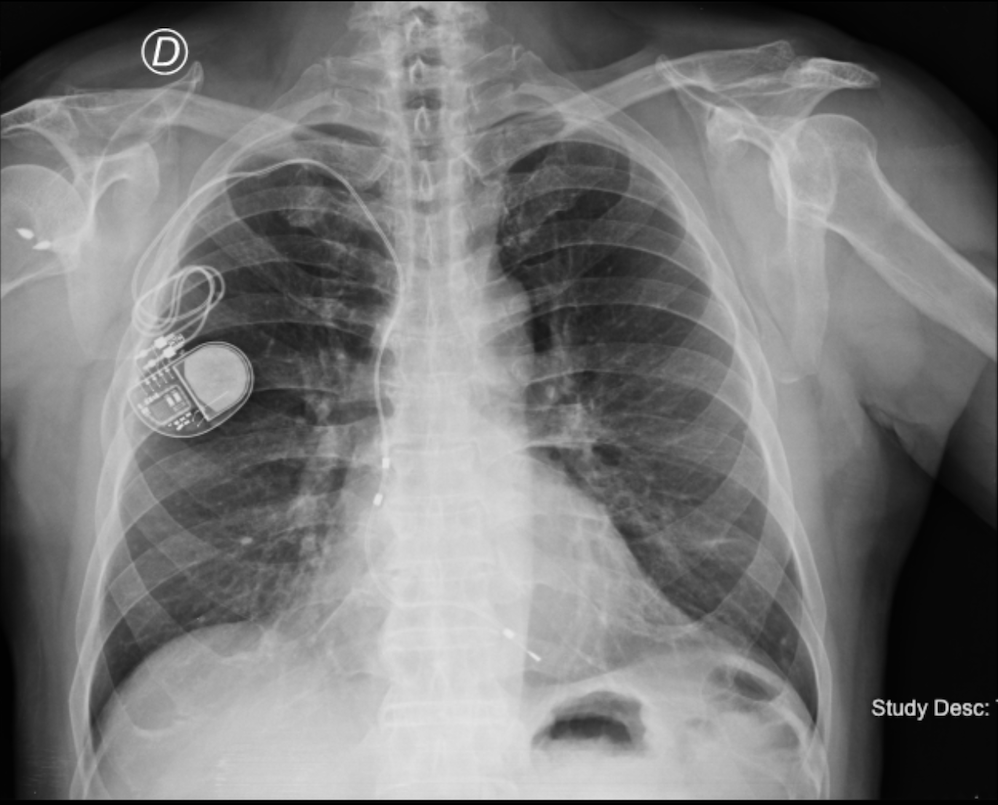
Introduction Cardiac implantable electronic device (CIED) infections are uncomm...
Introduction: Atrial fibrillation (AF) is rare in pediatric patients, especiall...
Background: There is a higher prevalence of ventricular tachycardia VT in Chaga...
Introducción: La monitorización remota (MR) permite la detección temprana de...
Introduction: Brugada syndrome is a hereditary channelopathy caused by sodium ch...
INTRODUCCION La ablación con radiofrecuencia de fibrilación auricular (FA) e...
Introducción: La estenosis aórtica (EAo) crítica neonatal representa entre e...
Introducción: Los dispositivos como los desfibriladores automáticos implantabl...
Background: Atrial fibrillation (AF) recurrence remains a significant challenge,...
Background: The addition of posterior wall isolation (PWI) to pulmonary vein iso...
Background: The addition of posterior wall isolation (PWI) to pulmonary vein iso...
Introduction: Patients with obesity undergoing epicardial access (EA) have a per...
Introducción: La enfermedad de Chagas es una etiología prevalente de miocardio...
Introducción:Las exovesículas son estructuras subcelulares implicadas en la se...
ANTECEDENTES: El síncope neurocardiogénico es una causa frecuente de pérdida ...
Background: Catheter ablation is a key treatment for atrial fibrillation (AF). C...
Autonomic balance can explain the predisposition of some patients to cardiac arr...
Introducción: Dentro de las anomalías cardiacas congénitas se ha visto incide...
Introduction: Ventricular tachycardia (VT) ablation is an established therapy f...
Introduccion La ablación del Itsmo Cavotricuspideo (ICT) durante la ablacion ...
Introducción El síndrome de Brugada (SBr) es un trastorno eléctrico primario...
Introducción: la ablación de la taquicardia reentrante nodal (TRN) es un proce...
INTRODUCCIÓN: La ablación con aislamiento de venas pulmonares (AVP) con sus d...
Introducción: La existencia de zonas de conducción preferencial de los impulso...
La fibrilación auricular (FA) es la arritmia cardíaca más frecuente en adulto...
The use of cardiac implantable electronic devices (CIEDs) has increased worldwid...
La taquicardia ventricular fascicular (TVF) es una forma rara de taquicardia ven...
La taquicardia ventricular polimórfica catecolaminérgica (TVPC) es una canalop...
Background: There is limited data on the benefit of posterior wall isolation (PW...
Introducción: La ablación de fibrilación auricular mediante catéter es una ...
Introducción En pacientes con estimulación crónica, la disfunción de un sist...
Background In patients with long RP tachycardias, the differential diagnosis be...
Introduction: Atrial fibrillation (AF) is a common arrhythmic complication in r...
El implante de MPD(IMPD) en Uruguay es financiado por un Fondo Nacional de Recur...
Introducción: El cardiodesfibrilador implantable (CDI) es una intervención con...
Introducción: La extracción percutánea de electrodos de dispositivos de estim...
Se presenta paciente femenino de 72 años, con antecedente de hipertensión, dia...
Introducción: La ablación de venas pulmonares (AVP) es el procedimiento de ru...
Introducción: La prevalencia de adultos con cardiopatías congénitas (CC) ha a...
Background: Traditionally, the post-pacing interval (PPI) is measured at the pa...
INTRODUCCIÓN El tratamiento invasivo de arritmias con distintas energías han ...
INTRODUCCIÓN: La cardioversión eléctrica (CE) durante la ablación de fibril...
INTRODUCCIÓN La ablación de fibrilación auricular (AbFA) con campo pulsado (...
INTRODUCCIÓN El aislamiento eléctrico de las venas pulmonares (VP) es el trat...
INTRODUCCIÓN El aislamiento eléctrico de las venas pulmonares (VP) es la pied...
INTRODUCCIÓN La punción transeptal (PTS) es un paso fundamental para la ablac...
Introducción La tormenta eléctrica en pacientes con miocardiopatía chagásic...
Introducción: La estimulación desde el ápex del ventrículo derecho puede gen...
Introducción Mientras las pausas sinusales sintomáticas son indicación de ma...
Introducción:El aleteo auricular tipo I o típico es una taquiarritmia macroree...
Introducción: El número de implantes de dispositivos eléctricos cardíacos ha...
Introducción La adecuada identificación de estructuras en electrodos de marca...
Introducción: En pacientes con Síndrome de Brugada (SB), la patente electroca...
Introducción La punción trans septal es un procedimiento usual en el abordaje...
INTRODUCCIÓN: La terapia con dispositivos cardíacos implantables, como los ma...
INTRODUCCIÓN El “power-on reset” de marcapasos corresponde a un mecanismo ...
Background: Pulsed field ablation (PFA) is an emerging modality for atrial fibr...
Introduction: The subcutaneous implantable cardioverter-defibrillator (S-ICD) i...
Introducción: La estimulación de área de rama izquierda (EARI) ha demostrad...
INTRODUCCION: En pacientes con CDI y estimulación ventricular permanente, la po...
Introducción: La taquicardia ventricular (TV) en pacientes con miocardiopatí...
INTRODUCCION La miocardiopatía hipertrófica (MCH) es una enfermedad primaria ...
Introducción: Los desfibriladores automáticos implantables (DAI) son fundamen...
Introducción: Los desfibriladores automáticos implantables (DAI) son esencial...
Introducción: La asociación de elevación del ST en AVR con depresión difusa ...
La estimulación del apex del VD produce un bloqueo de rama izquierda llevando a...
Introducción: La ablación de arritmias en la edad pediátrica es un procedimie...
Introducción: El síndrome de Brugada (SBr) es una enfermedad arritmogénica pr...
Introducción: Dentro de las taquicardias supraventriculares en la población pe...
Introducción: El Tilt Test es una herramienta diagnóstica fundamental para ev...
Introducción: El cierre quirúrgico de un CIV peri membranoso, puede traer como...
Introducción: La pandemia por COVID-19 ha causado múltiples complicaciones, en...
INTRODUCCION: La Taquicardia Paroxística Supraventricular (TPSV) es un tipo de ...
Introducción. La implantación de un S-ICD constituye una alternativa eficaz p...
Background: Pulsed field ablation (PFA) is a novel, non-thermal energy source f...
Introducción La corrección de las cardiopatías congénitas que involucran la...
Background: Catheter ablation of premature ventricular contractions (PVCs) is a...
Introducción El implante inadvertido de un catéter ventricular definitivo en ...
Background: Permanent pacemaker (PPM) implantation is a frequent complication a...
Background: Ventricular tachycardia (VT) is a potentially fatal complication in...
Introducción: La taquicardia ventricular (TV) no se limita a circuitos de reen...
La fibrilación auricular (FA) es la arritmia sostenida más frecuente y represe...
Accessory pathways (APs) are abnormal muscular connections between the atria and...
Background: Physiological cardiac pacing, by engaging the intrinsic conduction s...
Background: Endomyocardial biopsy (EMB) is essential for diagnosing cardiomyopa...
Introduction Supraventricular tachycardia (SVT) is a recognized trigger for atr...
Background Three-dimensional electroanatomical mapping has emerged as a highly ...
Introducción: los trastornos de conducción TC ejercen cambios en la activació...
Introduction: Physiological pacing through conduction system capture, at the His...
Introduction: The use of cardiac implantable electronic devices (CIEDs) continu...
Introducción: La fibrilación auricular (FA) por hiperactividad vagal es frecu...
INTRODUCCIÓN La fibrilación auricular es la arritmia más frecuente en mayore...
OBJETIVES: Identify baseline characteristics, periprocedural complications, and...
INTRODUCCIÓN La prevalencia de extrasístoles ventriculares (EV) en individuos...
OBJETIVES: Identify the acute success rate, complications and recurrence of abla...
INTRODUCCIÓN Las miocardiopatías arritmogénicas se asocian con un elevado ri...
Introducción: Las variaciones en la amplitud del complejo QRS en el electrocar...
Introducción La fibrilación auricular (FA) es la arritmia más frecuente en l...
Background: Vagal atrial fibrillation (AF) in young patients without structural...
INTRODUCCIÓN: Hay abundante evidencia de la importancia del cardiodefibrilador ...
Introduction: Arrhythmogenic right ventricular dysplasia (ARVD) is a rare car...
INTRODUCCIÓN El bloqueo auriculoventricular (BAV) intraesfuerzo, representa u...
INTRODUCTION: Incessant ventricular tachycardia (VT) is defined as sustained VT ...
INTRODUCCION Hasta un 23% de los pacientes a los que se implanta un dispositivo...
Introducción: La anomalía de Ebstein se asocia a un sustrato altamente arritm...
Introduction: Pulmonary vein isolation (PVI) is the cornerstone for treating atr...
Introducción: El desfibrilador automático implantable subcutáneo (DAI-S) es...
Introducción. La miocardiopatía hipertrófica (MCH) es una causa relevante de ...
INTRODUCCIÓN: El síndrome congénito de QT largo es una canalopatía heredita...
Introducción: La taquicardia ventricular (TV) en tetralogía de Fallot (TOF) r...
Hombre 61 años, con cardiopatía dilatada no isquémica, fibrilación auricular...
El ejercicio de alta intensidad, como el maratón, provoca adaptaciones cardiova...
Introduction Premature ventricular complexes (PVCs) are considered benign and o...
Introduction: The underutilization of implantable cardiac devices in Latin Ameri...
Introduction Chagas disease is endemic in Latin America. Chagasic cardiomyopath...
Introduction: Venous ethanol ablation (VEA) has a complementary role to radiofr...
La estimulación endocárdica constituye una herramienta fundamental en el manej...